2213 North Blvd West Davenport, FL 33837

(407) 706-2470

Patient Testimonials

Patient Testimonials

Mini Dental Implants Can Change Your Life

If you have loose dentures, single or multiple missing teeth, then mini dental implants may be the solution for you! You can leave with a beautiful smile in as many as two office visits!

Fixed on Six® Hybrid

Similar to the Fix on Six this is a patient that has a hybrid denture. The patient has all their top teeth missing. The denture is fabricated around metal framework that have holes where the implants are permanently cemented to create a permanent acrylic bridge. The cost of this procedure is usually affordable by all which makes a great permanent solution for a patient that can not afford a porcelain or zirconia roundhouse.o.

Ceramic Roundhouse

A ceramic roundhouse was used to replace this patients smile. With a roundhouse about 10 to 14 mini implants are used to permanently fix a ceramic or zirconia roundhouse. The roundhouse gives the patient the most natural smile with ceramic teeth. The patient can use his teeth just as they would if they were their own. The ceramic roundhouse is by far the most natural looking and feeling option to replace an indentureless smile.

Fixed on Six® Hybrid

This case allows the patient to have a permanent fixed acrylic bridge. The bridge is permanently cemented onto six mini dental implants which allows the patient to feel as if they had their own teeth. This is an extremely affordable option for a patient that wishes a non removable appliance.

Denture Stabilization

Sometimes an upper and lower denture can be loose and uncomfortable. In this case both the upper and lower dentures were stabilized to create a beautiful outcome. The denture is easier to wear and sore spots heal.

Upper Denture Stabilization

This patient could never wear his upper denture. After placing a few mini dental implants the patient can now wear his upper denture and eat and speak with confidence. Not only can he now eat but he also looks 10 years younger. This procedure can be completed with only two visits to the office.

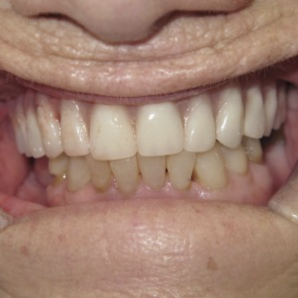
Single Tooth Replacement

This patient had an awful bridge, they wanted the tooth to match the others and be able to floss in between her front teeth. The bridge was easily removed a single mini implant was placed and the new crown was permanently cemented to the mini implant in just one short visit to the dentist. This is probably the easiest procedure and can make a world of difference to your smile.

Make your dream smile a reality!